万万没想到!癌症晚期患者感染新冠后,体内肿瘤竟然缩小了?
更新时间:2021-01-13 10:57:55    作者:健康港湾 浏览:68

2021年已经开始。可是令人头疼的是,新冠,这个人类的“老对手”,却仍然如影随形,一年过去了,全人类的这场健康危机却还没有结束。



好像,和新冠有关的话题永远是消极的,逃不开“死亡”、“分离”这样的字眼。


然而最近有个消息刷屏了:61 岁癌症晚期男子,感染新冠后竟将癌症奇迹“治愈”!


https://doi.org/10.1111/bjh.17116


这则病例于今年1月2日在《英国血液病杂志》( British Journal of Haematology)报道。


据报告称:“这名患者来自英国,此前因进行性淋巴结病及体重减轻而转血液科,可能发展为恶性淋巴瘤。”


后来,患者在接受肾移植失败之后,他已经连续3年停止免疫抑制治疗。


对锁骨淋巴结的细针活检显示,这位患者是感染了EBV(Epstein–Barr virus)的霍奇金淋巴瘤病人,并且处于癌症晚期阶段。



发现霍奇金淋巴瘤后不久,患者确诊新冠病毒感染,并出现呼吸困难等症状。


而研究数据更是“雪上加霜”:


2020年6月,同样发表于BJH的一篇文章曾经回顾了迄今为止有关血液癌患者感染新冠病毒后发生并发症的证据,并提出由于免疫力下降,血液癌患者可能会在感染SARS-CoV-2后遭受更严重的临床结局。


https://doi.org/10.1111/bjh.16956


可以说,当时该男子的病情已经是命悬一线,一切都只能听天命!


男子确诊这么多疾病之后,院方只是给他做了11天的支持性护理,就让他出院在家休养,并未给予皮质类固醇或免疫化疗。



在家修养4个月后,男子再次返回医院做检查,检查结果令众医生大吃一惊!


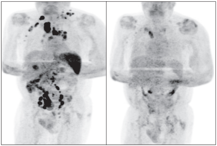
CT检查照片显示:可触及的淋巴结病变减少,淋巴结病变广泛消退,整个区域的代谢摄取减少。



前后对比不要太明显!


左图为最初的PET/CT扫描结果

右图为4个月后的PET/CT扫描结果


谁也没有想到,这个被病魔缠身的男子,竟然有一天也能“重获新生”!


《英国血液学杂志》因此做出了这样的猜想:该男子在感染新冠之后,新冠病毒进入到了他的体内,这就刺激到了该男子的免疫系统,触发一种抗肿瘤免疫反应!


免疫系统随即释放了大量促炎性细胞因子(inflammatory cytokines),促炎性细胞因子的释放。


与此同时,也激活了患者身体中的两种重要的免疫细胞

一个是自然杀伤细胞(natural killer cell,NK),该免疫细胞能同时抵抗肿瘤和病毒。


另一个是肿瘤抗原特异性T细胞,这种细胞由免疫系统生成,专为对抗霍奇金淋巴瘤。


这两种免疫系统同时作用产生了交叉反应。



直白来说,就是这两种细胞在患者身体里开启了“战斗模式”,与肿瘤君和病毒君死磕到底。


该男子在家修养4个月,估摸着这两个细胞却没闲着,在身体里暴走了4个月...这才把体内的这些“坏东西”清除了七七八八。


图源:《英国血液学杂志》


还有研究认为这属于“溶瘤病毒”反应。溶瘤病毒是一类能够有效感染并消灭癌细胞的病毒。



图:Creative Biolabs



在1950-1980年间,多种病毒被用于治疗癌症,其中包括肝炎病毒、EB病毒、WNV病毒、黄热病毒、登革热病毒等


当然,以上都只作为这位61岁的老人在患有淋巴癌的基础上感染新冠肺炎后痊愈的猜想,具体是什么原因还有待考证。不过这样的个例,确实为人们进一步了解COVID-19的相关信息提供了参考,同时也有助于未来研究人员挖掘出更有效的癌症免疫疗法。


很多未知,还待很多科研人员探索。


癌症是一种可怕的疾病,更何况现在又多了一个“新冠病毒”侵扰着人类。可谁能想到,几个月前还在死亡线上挣扎的61岁老人,几个月后就奇迹般的缓解了!从“最不幸”到堪称“最幸运”。


我们在为该男子身体情况好转而感到高兴的同时,也不得不说一句:人类的免疫系统太神奇了!我们也再一次看到了生命的顽强:往往你以为的走投无路,陷入绝境,却能等来“焕然新生”!


所以,我们不要盲目悲观,尤其是在当下,新冠疫情还没有结束的时候,面对疫情的反复,我们更是要冷静下来,积极面对生活。


做好防护、遵守规定,时刻关注自己的身体变化!


我们一定能看到人类战胜新冠的一天,届时,生活也会重回正轨!


400-886-9090
服务号二维码